โรคตับอ่อนอักเสบเรื้อรัง (Chronic pancreatitis

โรคตับอ่อนอักเสบเรื้อรังเป็นภาวะที่ทำให้เนื้อเยื่อตับอ่อนถูกทำลายและเกิดพังผืด ส่งผลให้การทำงานของตับอ่อนทั้งด้านการย่อยอาหารและการควบคุมระดับน้ำตาลในเลือดลดลงอย่างถาวร โรคนี้มีลักษณะการดำเนินโรคช้า แต่ส่งผลกระทบต่อคุณภาพชีวิตในระยะยาว โดยเฉพาะผู้ที่ดื่มสุราเป็นเวลานาน

โรคนี้พบได้ค่อนข้างน้อยเมื่อเทียบกับโรคตับอ่อนอักเสบเฉียบพลัน โดยพบได้ประมาณ 5–12 รายต่อประชากร 100,000 คนต่อปี พบมากในเพศชายมากกว่าเพศหญิง และมักเกิดในช่วงอายุ 30–50 ปี ความชุกของโรคสูงขึ้นในผู้ที่ดื่มสุราหนักเป็นเวลานาน โดยเฉพาะในประเทศที่มีการบริโภคแอลกอฮอล์สูง

สาเหตุและปัจจัยเสี่ยง

  • การดื่มสุราเรื้อรัง: เป็นสาเหตุหลักของโรค พบได้มากกว่า 70% ของผู้ป่วยทั้งหมด
  • การสูบบุหรี่: เพิ่มความเสี่ยงและเร่งความรุนแรงของโรค
  • พันธุกรรม: เช่น การกลายพันธุ์ของยีน PRSS1, SPINK1, CFTR
  • ภาวะทางเดินตับอ่อนตีบตัน: จากนิ่ว เนื้องอก หรือความผิดปกติทางโครงสร้าง
  • ภาวะไตรกลีเซอไรด์สูง (Hypertriglyceridemia): โดยเฉพาะเมื่อระดับ >1000 mg/dL
  • ภาวะภูมิคุ้มกันต่อตับอ่อน (Autoimmune pancreatitis): เป็นรูปแบบหนึ่งของโรคภูมิต้านตนเอง

อาการ

  • ปวดท้องเรื้อรัง: มักปวดบริเวณกลางลิ้นปี่ร้าวไปหลัง อาจเป็นๆ หายๆ หรือปวดตลอดเวลา โดยเฉพาะหลังรับประทานอาหารหรือดื่มสุรา
  • การย่อยอาหารผิดปกติ: เช่น ท้องอืด อุจจาระลอย มีกลิ่นเหม็น เนื่องจากไขมันถูกย่อยไม่สมบูรณ์ (Steatorrhea)
  • น้ำหนักลด: จากการย่อยและดูดซึมสารอาหารบกพร่อง
  • ภาวะเบาหวาน: เกิดจากการทำลายเซลล์ผลิตอินซูลินในตับอ่อน
  • ภาวะแทรกซ้อนอื่น ๆ: เช่น ถุงน้ำเทียม (pseudocyst), ภาวะดีซ่านจากท่อน้ำดีอุดตัน, และมะเร็งตับอ่อน

การวินิจฉัย

การวินิจฉัยโรคตับอ่อนอักเสบเรื้อรังอาศัยข้อมูลจากอาการ ประวัติการดื่มสุรา ผลตรวจทางห้องปฏิบัติการ และภาพทางรังสี เช่น CT scan, MRI หรือ ERCP

การตรวจที่ใช้ในการวินิจฉัย

  • การตรวจเลือด: ค่าของเอนไซม์ตับอ่อน (amylase, lipase) มักไม่สูงในระยะเรื้อรัง
  • การตรวจอุจจาระ: พบไขมันในอุจจาระมากกว่าปกติ (fat malabsorption)
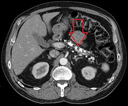
  • ภาพถ่ายรังสี (CT, MRI, MRCP): พบการหดตัวของตับอ่อน แคลเซียมเกาะในตับอ่อน หรือท่อน้ำตับอ่อนตีบและขยายสลับกัน
  • ERCP (Endoscopic Retrograde Cholangiopancreatography): ใช้ยืนยันโครงสร้างท่อร่วมและประเมินระดับการอุดตัน

การวินิจฉัยแยกโรค

โรค ลักษณะสำคัญ ลักษณะที่แตกต่างจากตับอ่อนอักเสบเรื้อรัง
ตับอ่อนอักเสบเฉียบพลัน ปวดท้องเฉียบพลันรุนแรง เอนไซม์ amylase/lipase สูง ไม่มีพังผืดหรือแคลเซียมเกาะในภาพถ่าย
นิ่วในถุงน้ำดี ปวดท้องหลังอาหารมัน มีดีซ่าน อัลตราซาวนด์พบก้อนนิ่วในถุงน้ำดี
มะเร็งตับอ่อน น้ำหนักลดรวดเร็ว ดีซ่านแบบไม่ปวด CT พบก้อนเนื้องอกเดี่ยว ไม่ใช่แคลเซียมกระจาย
แผลในกระเพาะหรือลำไส้เล็กส่วนต้น ปวดท้องสัมพันธ์กับมื้ออาหาร ช่วยได้ด้วยยาลดกรด ไม่พบความผิดปกติของตับอ่อนจากภาพถ่าย


การรักษา

การรักษามุ่งเน้นเพื่อบรรเทาอาการ ป้องกันภาวะแทรกซ้อน และฟื้นฟูคุณภาพชีวิตของผู้ป่วย

  • การหยุดดื่มสุราและสูบบุหรี่: เป็นสิ่งสำคัญที่สุดในการชะลอความเสื่อมของตับอ่อน
  • การควบคุมอาการปวด: ใช้ยาแก้ปวดตามระดับความรุนแรง เช่น paracetamol, tramadol หรือยากลุ่ม opioid ในรายที่ดื้อยา แต่เสี่ยงต่อการติดยา
  • การให้เอนไซม์ทดแทน: เพื่อช่วยการย่อยอาหาร เช่น pancrelipase (Creon®) ต้องใช้ตลอดชีวิต
  • การควบคุมเบาหวาน: ด้วยอินซูลินหรือยาลดน้ำตาลในเลือดตามดุลยพินิจแพทย์
  • การรักษาโดยการส่องกล้องหรือผ่าตัด: ในรายที่มีการอุดตันของท่อน้ำตับอ่อน หรือมีถุงน้ำเทียม

พยากรณ์โรค

โรคตับอ่อนอักเสบเรื้อรังไม่สามารถรักษาให้หายขาดได้ แต่สามารถควบคุมอาการและชะลอการดำเนินโรคได้หากปฏิบัติตามคำแนะนำอย่างเคร่งครัด ผู้ที่หยุดดื่มสุราได้มักมีพยากรณ์โรคดีกว่าผู้ที่ยังดื่มต่อเนื่อง ภาวะแทรกซ้อนที่สำคัญ ได้แก่ เบาหวาน ถุงน้ำเทียม และมะเร็งตับอ่อน

การป้องกัน

  • หลีกเลี่ยงการดื่มสุราและสูบบุหรี่
  • ควบคุมระดับไขมันในเลือดให้อยู่ในเกณฑ์ปกติ
  • รับประทานอาหารที่ย่อยง่าย หลีกเลี่ยงอาหารมันจัด
  • ตรวจสุขภาพประจำปี โดยเฉพาะผู้ที่มีประวัติครอบครัวเป็นโรคตับอ่อน

สรุป

โรคตับอ่อนอักเสบเรื้อรังเป็นภาวะที่เนื้อเยื่อตับอ่อนถูกทำลายเรื้อรังจากสาเหตุต่าง ๆ โดยเฉพาะการดื่มสุราเรื้อรัง การรักษาที่สำคัญคือการหยุดปัจจัยเสี่ยง ร่วมกับการให้เอนไซม์ทดแทนและควบคุมภาวะแทรกซ้อน การวินิจฉัยตั้งแต่ระยะเริ่มต้นและการดูแลอย่างต่อเนื่องสามารถช่วยให้ผู้ป่วยมีคุณภาพชีวิตที่ดีและลดโอกาสเกิดภาวะแทรกซ้อนในระยะยาวได้